香川県 高松市 花宮 インプラント 口腔外科 歯周病予防

087-863-7730

【月火木土】9:00-13:00/14:00-18:00
【水金日祝】休診

ご予約ご予約

香川県 高松市 花宮 インプラント 口腔外科 歯周病予防

スタッフブログ

歯周病で抜歯が必要と判断されるケースとは?その後の治療法も


歯周病で抜歯する様子

こんにちは。高松市花ノ宮にある歯医者「中山歯科クリニック」です。

歯周病は、日本人の成人が歯を失う主な原因のひとつとして知られており、軽度な炎症から始まり、徐々に歯を支える組織に影響を及ぼしていきます。初期段階では自覚症状が乏しいことが多く、気づいたときには進行しているケースも多く見られます。

特に重度の状態にまで進行すると、歯の保存が難しくなり、抜歯が必要になることもあります。そうならないためには、歯周病の正しい知識を持ち、予防と早期の対策を講じることが重要です。

今回は、歯周病の進行段階ごとの特徴や、抜歯が必要とされる判断基準、抜歯後の治療法、そして日常生活で取り組める予防策について詳しく解説していきます。将来の口腔内の健康を守るために、ぜひお役立てください。

歯周病とは

歯周病について説明するイメージ

歯周病とは、歯と歯ぐきの隙間に細菌が繁殖し、歯ぐきや歯を支える骨(歯槽骨)に炎症を引き起こす疾患です。初期段階では歯ぐきの腫れや出血など軽微な症状から始まりますが、進行するにつれて歯槽骨が吸収され、最終的には歯が支えられなくなり抜け落ちることもあります。

原因となるのは、主にプラーク(歯垢)に存在する細菌で、これらが長期間にわたり付着していると、歯周組織の破壊が始まります。

歯周病はサイレントディジーズ(静かなる病気)とも呼ばれ、自覚症状が出る頃にはすでに進行している場合が多いため、早期発見・早期治療が鍵となります。

歯周病の進行段階

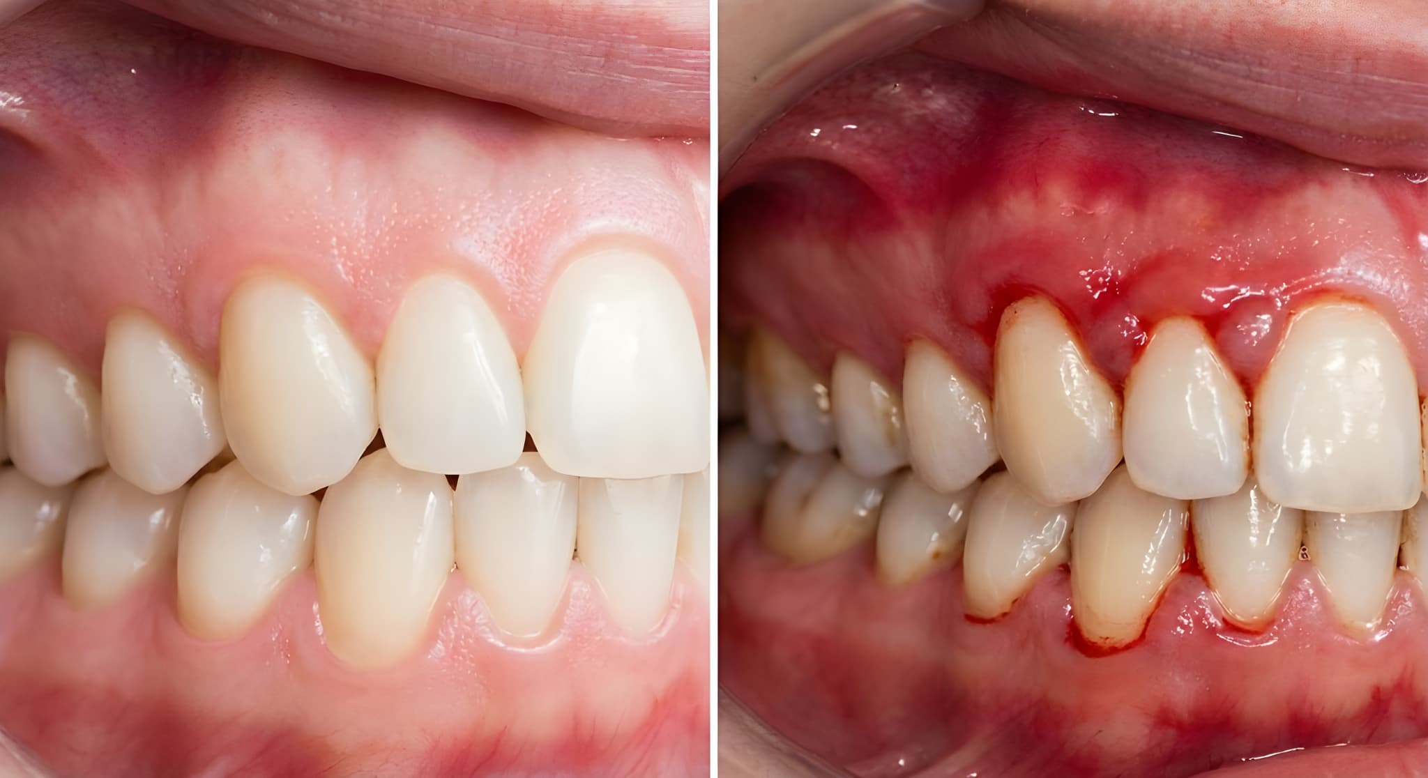
健康な歯茎と歯周病の歯茎の比較

歯周病は一気に重度化するものではなく、段階的に進行していきます。それぞれの段階における特徴を把握しておくことが、早期対処につながります。

健康な状態

歯周病がない健康な口腔内では、歯ぐきが引き締まり、ピンク色をしています。歯と歯ぐきの間の溝(歯周ポケット)も浅く、ブラッシング時に出血することもほとんどありません。

プラークが適切に取り除かれていれば、炎症も見られず、歯を支える骨もしっかりと維持されています。健康な状態を維持するには、正しいブラッシングと定期的な歯科検診が不可欠です。

歯肉炎

歯肉炎は歯周病の初期段階で、歯ぐきに軽度の炎症が見られます。プラークの蓄積により歯ぐきが赤く腫れたり、歯磨き時に出血したりすることがありますが、この段階では歯槽骨の破壊はまだ起きていません。

日々のセルフケアを見直し、歯科医院でクリーニングを受けることで、十分に改善可能です。

軽度の歯周炎

歯肉炎が進行すると、歯周炎と呼ばれる段階になります。軽度の歯周炎では、歯ぐきの腫れや出血が悪化し、歯周ポケットが深くなり始めます。歯を支える骨の吸収も徐々に進行し、口臭が発生することもあります。

この段階では、適切なセルフケアに加え、歯科医院での専門的な処置が求められます。歯垢や歯石を除去する処置によって、歯周組織の炎症を抑え、状態の改善が期待できます。早期に対応することで、歯の保存が可能な段階です。

中等度の歯周炎

中等度の歯周炎では、歯ぐきの腫れや出血に加え、歯を支える骨の吸収がさらに進みます。歯周ポケットがさらに深くなり、プラークや歯石がたまりやすくなり、細菌の活動も活発になります。この段階では、歯の動揺が始まることもあり、食事のときに違和感を覚えることもあるでしょう。

歯科医院では、歯石の除去や歯ぐきの中まで清掃する処置が必要となり、場合によっては外科的な治療も検討されます。早めに対処することで、症状の悪化を防ぐことが可能です。

重度の歯周炎

重度の歯周炎では、歯を支える骨が大きく減り、歯がはっきりと動くようになります。歯ぐきには強い炎症があり、膿がたまることもあります。口臭が気になりやすく、噛むときに痛みや違和感を覚えることも少なくありません。

この段階では、歯を残すことが難しくなる場合もあり、治療の選択肢として抜歯が検討されます。周囲の歯や歯ぐきへの影響を防ぐためにも、歯科医院で治療を受けることが大切です。

歯周病で抜歯が必要と判断されるケース

歯周病がひどくなり抜歯した歯

歯周病が進行すると、歯の保存が困難になる場合があります。ここでは、抜歯が必要と判断されるケースについて解説します。

歯の動揺が強い場合

歯周病の進行によって歯を支える骨が大きく失われると、歯が不安定になり、動揺が目立つようになります。噛む力を支えられなくなった歯をそのまま残すと、ほかの歯や歯ぐきに悪影響を及ぼすおそれがあるでしょう。

歯の動揺が日常生活に支障をきたす場合や、周囲の歯に負担がかかる場合には、抜歯が選択されることがあります。

感染や炎症が広範囲に及ぶ場合

歯周病による炎症が一部分にとどまらず、周囲の歯ぐきや骨に広がっているケースでは、ほかの健康な歯に影響を及ぼす前に対処が必要です。細菌感染が慢性化すると、痛みや膿の排出が続き、口腔内の環境が悪化します。

このような広範囲の炎症を早期に抑えるため、感染源となっている歯の抜歯が適切とされる場合があります。

治療を続けても改善が見込めない場合

歯周病の治療を継続しても、症状の改善がみられない歯については、今後の再発リスクや周囲の健康な組織への影響を考慮し、抜歯が検討されることがあります。特に歯根の周囲に深い骨吸収が見られる場合や、歯周ポケットが極端に深い場合は、回復が難しいことが多いです。

このような判断は、患者さんの全体的な口腔環境を考えたうえで行われます。

抜歯後の治療法

抜歯後にインプラントで治療した口腔内

歯周病で歯を失ったあとは、そのままにせず適切な補綴治療を行うことで、噛む機能や見た目を取り戻すことが可能です。ここでは、代表的な3つの治療方法をご紹介します。

インプラント治療

インプラントは、人工の歯根を顎の骨に埋め込み、その上に人工の歯を取り付ける治療法です。天然の歯に近い見た目と機能が期待でき、違和感も少ないのが特徴です。

ただし、骨の量や質によっては、あらかじめ骨を増やす処置が必要になる場合があります。また、治療期間が長くなる傾向がある点はデメリットといえるでしょう。

ブリッジ

ブリッジは、失った歯の両隣の歯を支えにして人工歯を固定する方法です。見た目の仕上がりが自然で、短期間で治療が完了するという利点があります。

ただし、支えとなる歯を削る必要があるため、健康な歯への負担が懸念されます。歯の状態や本数に応じて、慎重に検討するべき治療法です。

部分入れ歯

部分入れ歯は、複数の歯を失った場合にも対応可能な取り外し式の装置です。保険が適用される入れ歯を選択することで治療費が抑えられる点が魅力で、短期間で装着できるという利点もあります。

一方で、装着時に違和感を覚える方もおり、慣れるまでに時間がかかることがあります。定期的な調整と清掃を行い、快適に使えるように管理することが大切です。

歯周病を進行させないためにできること

デンタルフロスで歯周病の進行を防ぐ様子

歯周病は予防が非常に重要な疾患です。ここでは、歯周病の進行を防ぐ方法について解説します。

毎日のセルフケアを徹底する

歯周病予防の基本は、日々のブラッシングと歯間清掃です。歯垢を残さず取り除くためには、正しい歯磨きの方法を知り、丁寧に実践することが大切です。歯ブラシに加えて、歯間ブラシやデンタルフロスも使うことで、歯と歯の間の汚れを取り除くことができます。

生活習慣を見直す

不規則な生活やストレスの多い毎日は、免疫力を低下させ、歯周病の進行を早める一因となります。バランスの良い食事や十分な睡眠、適度な運動などを心がけることで、体全体の健康状態を整えることができ、口腔内の環境も安定しやすくなります。

禁煙する

喫煙は、歯周病の発症・進行に深く関わっています。たばこに含まれる有害物質は血流を悪くし、歯ぐきへの酸素供給や栄養供給を妨げます。また、炎症があっても症状に気づきにくくなるため、発見が遅れるリスクも高まります。

歯と歯ぐきの健康を守るためにも、禁煙を検討することが非常に大切です。

定期検診を受ける

歯周病は自覚症状が少ないため、定期的に歯科医院を受診することが重要です。専門的なクリーニングにより、歯垢や歯石を取り除くことで炎症を予防できます。さらに、初期の異常を早期に発見し、適切な治療へとつなげることができます。

日常のセルフケアと歯科でのケアを組み合わせることが、歯を長く保つ鍵となります。

まとめ

健康な歯茎を保つ女性のイメージ

歯周病は、初期の段階では気づきにくいものですが、進行すると歯を支える骨が失われ、最終的に歯の保存が難しくなることもあります。そのため、歯周病の症状があるときは、早めに治療を受けることが重要です。

日々のセルフケアと定期的な歯科検診を続けることで、歯周病の予防と進行の抑制につながります。今ある歯を長く守るために、小さな変化にも注意を払いながら、継続的なケアを心がけましょう。

歯周病の症状にお悩みの方は、高松市花ノ宮にある歯医者「中山歯科クリニック」にお気軽にご相談ください。

当院では、全身の健康と長寿に貢献できる長期的な視点をもった治療を行っています。専門的な歯周病治療だけでなく、予防歯科、虫歯治療、インプラント、ホワイトニングなど、さまざまな診療を行っております。

当院のホームページはこちらご予約・お問い合わせも受け付けております。